生命接力!70岁多发伤患者经多学科团队6小时手术获新生
近日,黔南州人民医院神经外科重症监护室联合创伤骨科、肝胆外科、胃肠外科、胸心外科、麻醉科、介入医学科等多学科团队,通过高效协同与序贯救治,成功救治一名因严重车祸导致全身多发伤、生命垂危的70岁男性患者,充分体现了医院创伤中心多学科协作机制的救治能力。
患者入院时已处于深昏迷状态,无自主呼吸,血压持续偏低,需依靠大剂量升压药维持;右侧瞳孔散大,提示脑疝形成,同时伴有严重创伤性休克、血氧饱和度仅82%,以及肋骨及骨盆多发骨折、双侧血气胸和腹腔脏器损伤等多系统损伤。神经外科重症监护室立即开启创伤救治绿色通道,在积极进行重症支持的同时,迅速完成相关检查与评估。

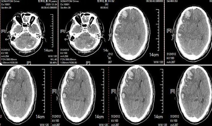
入院时颅脑CT平扫 :多发脑挫伤

入院时胸部CT平扫 :双肺挫伤,双侧血气胸
由于患者伤情复杂危重,医院迅速启动创伤中心紧急多学科会诊(MDT),由神经外科NSICU、创伤骨科、肝胆外科、胃肠外科、胸心外科、手术麻醉科等科室主任组成专家团队,共同制定“救命优先、损伤控制”的手术方案。神经外科团队首先处理危及生命的脑疝及颅内血肿,完成颅内血肿清除与颅内压监测;随后,创伤骨科团队为患者进行骨盆紧急固定。
次日,胸心外科、肝胆外科、胃肠外科、介入医学科、手术麻醉科再次进行MDT讨论,确定后续手术方案,顺利实施腹腔血管造影、腹腔探查,术中完成肠系膜损伤修补、脾切除及膈肌破裂修补等一系列复杂操作。历时6小时,在各学科紧密配合下,手术顺利完成。


术后,患者在神经外科重症监护室继续接受治疗。在相关手术科室的支持下,医护团队依托先进的生命支持设备与精细化护理,使患者病情逐步趋于稳定。术后一周,患者意识转为浅昏迷,成功脱离呼吸机,胸腹腔引流管相继拔除;术后两周,患者神志转清,复查显示颅内血肿完全吸收、肺挫伤明显好转,达到转出重症标准。为方便家属照护,患者随后转至当地医院进行后续康复治疗。

术后两周复查头颅CT:血肿完全清除

术后两周复查胸部CT:肺部情况好转
此次成功救治,充分展现了黔南州人民医院在多发性创伤急救中高效的多学科协作与综合救治实力。从紧急响应、联合手术到术后监护,每一步都凝聚着各科室的专业力量与团队的紧密配合。

